When a patient walked into our office, he was on a mission: to restore his smile and regain confidence in his oral health. His journey began with a concerning diagnosis from his dentist, who had re-cemented a crown on his upper left tooth as a temporary fix. The dentist had discovered that decay had extended deep into the root, and the patient was advised to consider a more permanent solution—a dental implant.

The patient, who had successfully received an implant on the upper right side nearly 20 years ago, was no stranger to the benefits of implants. He knew the longevity and reliability they offered, especially compared to other dental options. However, the condition of his upper left tooth (#24) required immediate attention. The gum tissue surrounding the tooth was inflamed, and the decay had progressed well into the root, leaving no viable option other than extraction.

During our consultation, we discussed the advantages of computer-guided surgery, a method that enhances precision and predictability in implant placement. We showed the patient the digital guide, explaining how it would ensure the implant was placed in the optimal position for both function and aesthetics. Understanding the importance of this technology, the patient felt reassured and consented to proceed with the treatment.
The day of the surgery arrived, and we began by carefully extracting the compromised tooth (#24). With the tooth removed, it was time to place the implant using our computer-guided surgery protocol. A surgical guide was placed and verified for fit, ensuring that the implant site was prepared with precision. Throughout the procedure, we used implant drills with both internal and external saline irrigation to maintain a sterile environment and protect the surrounding tissues.

To enhance the success of the implant, we performed bone augmentation to support the implant and encourage healthy bone regeneration. Once the implant was securely in place, we ensured hemostasis before the patient left the office. Post-operative care included a prescription for Chlorhexidine Gluconate Oral Rinse (0.12%) to be used twice daily, helping to maintain oral hygiene and prevent infection during the healing process.

Following the successful implant placement, the patient returned for the final stage of his treatment. After confirming that the implant met all protocols for loading, we proceeded with final scans. The advanced digital scanner captured detailed images of the upper and lower arches, as well as the bite, ensuring that the final restoration would be a perfect fit.

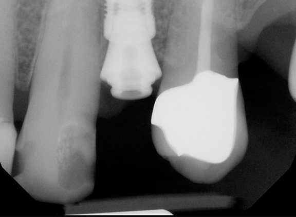
With the final scans complete and the shade for the crown (A4) selected, the patient was ready for the insertion of his new Zirconia implant crown. He consented to proceed, and we carefully tried in the crown, checked and flossed the contacts, and obtained his approval before moving forward with the final placement. The implant crown, a retrievable screw-retained type, was torqued into place with precision, ensuring a secure and stable fit. After confirming the proper seating with a periapical (PA) x-ray, the crown was permanently secured, and the access hole was sealed with resin.

The patient was thrilled with the outcome and appreciative of the care and attention to detail that went into his treatment. Before leaving, we discussed the importance of regular hygiene maintenance, explaining the potential risks of peri-implantitis and bone loss if preventive care is neglected. A second prescription for Chlorhexidine was provided at the patient’s request, ensuring he had everything he needed to maintain his new implant and overall oral health. Our technology will be used to address other dental concerns that our patient has been experiencing with other teeth.
This patient’s journey is a testament to the power of modern dentistry and the incredible results that can be achieved with advanced technology and a commitment to excellence. His smile is not only restored but also set to last for many years to come.
Don’t hesitate, book your complimentary consultation today to learn how our modern digital solutions can help restore the smile you deserve. Enter your details on the right and we will contact you at your convenience.